


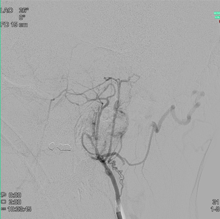
Die präoperative Embolisation eines gefäßreichen Tumors dient zur Verminderung des operativen Blutungsrisikos. in der Regel lassen sich hierdurch ca. 90% des Tumors von der Gefäßversorgung abhängen.
Hierzu wird ähnlich wie bei der diagnostischen Angiographie ein Zugang über die Leistenschlagader gewählt und dann die tumorversorgenden Gefäße mit einem Mikrokatheter sondiert. In der Regel wird das Gefäßbett des Tumors mittels kleiner Partikel emboliiert, ggf. auch mit einem Gefäßkleber.
Der Eingriff dauert ca. 45-60min, hierfür ist keine Vollnarkose notwendig.








